WhatsApp
Tontura, dor de cabeça e pressão alta: quando fazer exames de imagem? - Mega Imagem

Tontura, dor de cabeça e pressão alta: quando fazer exames de imagem?

Blog › Tontura, dor de cabeça e pressão alta: quando fazer exames de imagem?


Sentir tontura, dor de cabeça e perceber a pressão alta ao mesmo tempo pode gerar preocupação imediata. Muitas pessoas se perguntam se esses sintomas indicam algo grave e, principalmente, quando fazer exames de imagem para investigar a causa.

Embora nem todo episódio exija uma investigação complexa, existem situações em que os exames de imagem são fundamentais para descartar condições neurológicas, vasculares ou estruturais. Entender os sinais de alerta ajuda a tomar decisões mais seguras e evitar tanto o excesso quanto a negligência nos cuidados.

Neste artigo, falaremos mais sobre esse tema, apontando quando os sintomas não devem ser ignorados. Para saber mais, continue a leitura!

A relação entre tontura, dor de cabeça e pressão alta

A pressão alta, também chamada de hipertensão arterial, pode causar sintomas como dor de cabeça, sensação de peso na nuca, tontura e até alterações visuais. No entanto, em muitos casos, a hipertensão é silenciosa.

Por isso, é importante destacar: nem toda dor de cabeça está relacionada à pressão alta, e nem toda tontura indica um problema neurológico. Frequentemente, esses sintomas têm causas benignas, como estresse, desidratação, alterações hormonais ou distúrbios do labirinto.

Ainda assim, quando os sintomas são intensos, persistentes ou acompanhados de outros sinais neurológicos, surge a dúvida legítima sobre quando fazer exames de imagem.

Quando fazer exames de imagem em casos de dor de cabeça?

A maioria das dores de cabeça é classificada como primária, como enxaqueca ou cefaléia tensional. Nesses casos, o diagnóstico é clínico e não exige, obrigatoriamente, exames de imagem.

Entretanto, existem situações específicas que indicam a necessidade de investigação. Entre elas:

  • Dor de cabeça súbita e muito intensa (“a pior da vida”)

  • Dor associada a rigidez no pescoço

  • Alterações neurológicas, como fraqueza, formigamento ou dificuldade na fala

  • Convulsões

  • Perda de consciência

  • Mudança no padrão habitual da dor

  • Dor de cabeça em pessoas com histórico de câncer ou imunossupressão

Nesses contextos, saber quando fazer exames de imagem é essencial para descartar condições como hemorragia cerebral, tumores, aneurismas ou infecções.

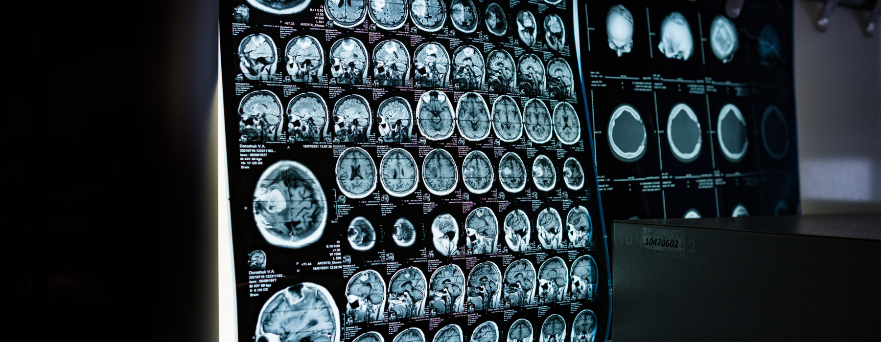
Painel com imagens de ressonância magnética cerebral mostrando diferentes cortes do cérebro para investigação de dor de cabeça e tontura. Exames de imagem como a ressonância magnética auxiliam na investigação de tontura persistente, dor de cabeça intensa e complicações relacionadas à pressão alta.

Os exames mais solicitados são a tomografia computadorizada (TC), especialmente em situações de urgência, e a ressonância magnética (RM), que oferece maior detalhamento das estruturas cerebrais.

Pressão alta pode exigir exames de imagem?

A pressão alta isoladamente nem sempre exige exames de imagem. No entanto, quando a hipertensão está muito elevada, especialmente acima de 180/120 mmHg, e acompanhada de sintomas neurológicos, o cenário muda.

Nesses casos, o médico pode suspeitar de uma emergência hipertensiva, condição que pode afetar órgãos-alvo, incluindo o cérebro. Assim, torna-se necessário avaliar rapidamente possíveis complicações, como:

Portanto, saber quando fazer exames de imagem diante de um quadro de pressão alta com sintomas associados pode ser determinante para um diagnóstico precoce e tratamento imediato.

Tontura persistente: quando investigar?

A tontura é um sintoma comum e, na maioria das vezes, está relacionada a alterações do sistema vestibular (labirinto). Porém, quando a tontura é persistente, progressiva ou acompanhada de sinais neurológicos, a investigação deve ser mais cuidadosa.

É indicado considerar exames de imagem quando houver tontura associada a fraqueza em um dos lados do corpo, alterações na fala, visão dupla, perda de coordenação, histórico de doenças vasculares e episódios repetidos sem causa aparente.

Nessas situações, a ressonância magnética é frequentemente o exame mais indicado, pois permite avaliar possíveis lesões no tronco cerebral, cerebelo ou estruturas vasculares.

Quais exames de imagem podem ser solicitados?

Quando o médico avalia o quadro clínico e decide investigar, diferentes exames de imagem podem ser indicados, dependendo da suspeita diagnóstica.

Tomografia computadorizada (TC)

A tomografia é rápida e amplamente disponível. Ela é especialmente útil em situações de emergência, como suspeita de AVC hemorrágico ou trauma craniano.

Ressonância magnética (RM)

A ressonância oferece imagens mais detalhadas do cérebro e das estruturas vasculares. É o exame preferido quando há suspeita de tumores, esclerose múltipla, pequenas lesões isquêmicas ou alterações inflamatórias.

Angiotomografia ou angiorressonância

Esses exames avaliam especificamente os vasos sanguíneos. São indicados quando há suspeita de aneurismas, malformações vasculares ou obstruções arteriais.

Dessa forma, entender quando fazer exames de imagem também envolve compreender qual exame é mais adequado para cada contexto clínico.

Nem sempre o exame é a primeira etapa

Apesar da preocupação natural diante dos sintomas, é importante reforçar que os exames de imagem não substituem a avaliação clínica. O médico considera histórico, intensidade dos sintomas, frequência, fatores de risco e exame físico antes de indicar qualquer procedimento.

Realizar exames sem indicação pode gerar ansiedade desnecessária, achados incidentais sem relevância clínica e custos evitáveis. Por outro lado, adiar a investigação quando existem sinais de alerta pode trazer riscos. Por isso, o equilíbrio é fundamental na hora de procurar ajuda de um profissional.

Sinais de alerta que indicam quando fazer exames de imagem

Alguns sintomas combinados com dor de cabeça, tontura e pressão alta indicam necessidade de atendimento urgente. São eles:

  • Perda súbita de força

  • Dormência em um lado do corpo

  • Dificuldade para falar

  • Confusão mental

  • Convulsão

  • Alteração visual súbita

  • Dor de cabeça explosiva

Nessas situações, não se deve hesitar. Procurar atendimento médico imediatamente aumenta as chances de um desfecho favorável.

A importância do diagnóstico precoce

Quando há indicação correta, os exames de imagem desempenham papel essencial na identificação de doenças neurológicas e vasculares. Além disso, permitem iniciar tratamento adequado o mais cedo possível.

Em casos como AVC isquêmico, por exemplo, o tempo é decisivo. Quanto mais rápido o diagnóstico, maiores as chances de preservar funções neurológicas.

Portanto, compreender quando fazer exames de imagem não significa buscar exames ao primeiro sintoma, mas reconhecer os sinais que exigem investigação aprofundada.

Considerações finais

Tontura, dor de cabeça e pressão alta são sintomas relativamente comuns, mas que podem gerar preocupação quando aparecem juntos. Na maioria das vezes, têm causas benignas e transitórias. No entanto, existem situações específicas em que a investigação com exames de imagem se torna indispensável.

Saber quando fazer exames de imagem depende da intensidade, frequência e associação com sinais neurológicos. A avaliação médica é sempre o primeiro passo para uma decisão segura.

Diante de sintomas persistentes, diferentes ou acompanhados de sinais de alerta, buscar orientação profissional é essencial. O diagnóstico correto não apenas esclarece a causa, como também pode salvar vidas.

Gostou deste conteúdo? Acesse nosso site e agende seu exame de imagem.

Em resumo

Precisando realizar seus exames e manter a saúde em dia? Conte com a Mega!

Agende seus exames on-line, clique aqui!

Baixe o MEGAPP!
Basta acessar a Play Store ou App Store e baixar o APP que aparece como “Mega Imagem-Agendamento”.

Já segue a Mega nas Redes Sociais?
Acesse nossos canais: FacebookYoutube Instagram, Linkedin.




Por Equipe Mega Imagem em 13/02/2026